
Impact of diabetes and metformin on aneurysm sac shrinkage post-EVAR
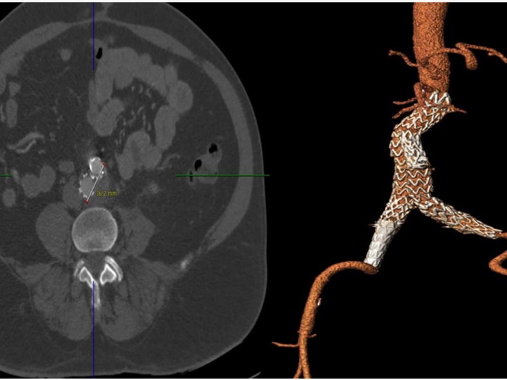
Experts analyzed 529 patients undergoing endovascular aneurysm repair (EVAR) for infrarenal abdominal aortic aneurysm, focusing on DM and metformin's impact on aneurysm sac remodeling. Diabetic patients showed less sac shrinkage at one year and lower overall survival over nine years compared to non-diabetics. Metformin treatment did not significantly alter sac shrinkage outcomes in diabetic patients.

More from MedShots Daily

Experts analyzed 529 patients undergoing endovascular aneurysm repair (EVAR) for infrarenal abdominal aortic aneurysm, focusing on DM and metformin's impact on aneurysm sac remodeling. Diabetic patients showed less sac shrinkage at one year and lower overall survival over nine years compared to non-diabetics. Metformin treatment did not significantly alter sac shrinkage outcomes in diabetic patients.
last year

A multiethnic study reveals that dietary fibre reduces CVD risk in non-diabetic individuals, while gut microbiota markers offer broader protection....
Today

A recent study highlights that nearly half of patients with malpositioned IUDs are asymptomatic, making ultrasound essential for accurate diagnosis....
Today

SGLT2i therapy is associated with lower stroke risk, particularly hemorrhagic stroke, in T2D patients with diabetic retinopathy, according to a 5-year study...
Today

A review of bone MRI evolution, from conventional T1/T2 sequences to AI-driven synthetic CT, enhancing diagnosis for osteoporosis and osteoarthritis....
Today

A population-based cohort study finds semaglutide treatment is not associated with reduced risk of liver cirrhosis or HCC in type 2 diabetes patients....
Today