
Modified curettage technique improves cesarean scar pregnancy outcomes
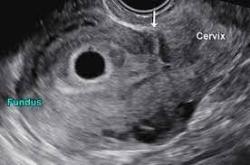
A study compared classical & modified ultrasound-assisted suction curettage techniques for cesarean scar pregnancy. The modified approach resulted in less postoperative hemoglobin decrease (1.01 g/dl vs. 1.39 g/dl) & lower treatment failure. Factors influencing success included myometrial thickness & gestational diameter. Results support the effectiveness of guided suction curettage, especially when detaching the gestational sac prior to suction.

More from MedShots Daily

A study compared classical & modified ultrasound-assisted suction curettage techniques for cesarean scar pregnancy. The modified approach resulted in less postoperative hemoglobin decrease (1.01 g/dl vs. 1.39 g/dl) & lower treatment failure. Factors influencing success included myometrial thickness & gestational diameter. Results support the effectiveness of guided suction curettage, especially when detaching the gestational sac prior to suction.
last year

A systematic review and meta-analysis shows that CDI incidence decreased significantly during the COVID-19 pandemic due to better infection control measures...
Today

The PREDICT study provides a model to estimate spontaneous labor probability between 39-41 weeks, aiding shared decision-making in term pregnancies....
Yesterday

International experts establish standardized in-vitro testing protocols for ECLS devices to improve research consistency, hemocompatibility, and clinical us...
Today

Study compares the direct superior approach (DSA) and posterolateral approach in fast-track THA, focusing on recovery and patient-reported outcomes....
Today

New research compares resection and fenestration for Rathke's cleft cysts, highlighting that fenestration offers lower endocrine risks with similar recurren...
Today